Khám bệnh mụn rộp sinh dục ở đâu Bách Lạc uy tín, hiệu quả, bảo mật?
“Khi thấy mụn nước, ngứa rát vùng kín, bạn sẽ đi khám bệnh mụn rộp sinh dục ở đâu Bách Lạc?” Đó là câu hỏi của rất nhiều nam – nữ đang lo lắng về khả năng mắc bệnh xã hội. Mụn rộp sinh dục (Herpes sinh dục) là bệnh lây qua đường tình dục,...
26
Th6
Th6
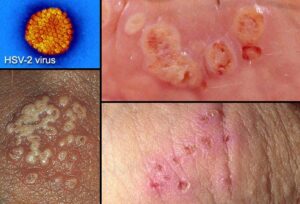
Mụn rộp sinh dục là dấu hiệu “cảnh báo” bệnh gì?
Mụn rộp sinh dục là bệnh lý lây nhiễm chủ yếu qua đường tình dục, ảnh hưởng nghiêm trọng tới sức khỏe người bệnh. Hãy cùng tìm hiểu ngay những dấu hiệu mụn rộp sinh dục để bạn có thể nhận biết và phát hiện thăm khám, điều trị kịp thời nhé! 1. Nhận biết...
22
Th9
Th9

