Bao quy đầu bị nấm là bệnh lý viêm nhiễm bộ phận sinh dục thường gặp ở nam giới. Khi mắc bệnh, vùng da quy đầu xuất hiện những nốt ban đỏ, sưng tấy. Bệnh còn có tên gọi khác là nấm bao quy đầu. Cùng các bác sĩ nam khoa phòng khám đa khoa Bách Lạc tìm hiểu nguyên nhân và dấu hiệu nấm bao quy đầu trong bài viết dưới đây nhé.
1. Nguyên nhân nào gây ra tình trạng bao quy đầu bị nấm?
Vùng bao quy đầu là vị trí nhạy cảm, là môi trường thuận lợi cho các loại vi khuẩn, virus, nấm tấn công gây nấm ngứa. Một số nguyên nhân phổ biến gây ra tình trạng bao quy đầu bị nấm là do:
1.1. Bao quy đầu bị nấm do quan hệ tình dục không an toàn
Nếu “bạn tình” của bạn bị nhiễm nấm và có “quan hệ tình dục” không an toàn thì nguy cơ bạn bị nhiễm bệnh sẽ rất cao. Dịch tiết của phụ nữ bị nhiễm nấm có thể còn dính lại trên bao quy đầu, tạo điều kiện thuận lợi cho nấm phát triển mạnh mẽ và gây ra nấm bao quy đầu.

1.2. Viêm nấm bao quy đầu
Nấm Candida là “thủ phạm” gây bệnh nấm bao quy đầu ở nam giới. Trong nhóm nấm Candida, loại gây bệnh nấm bao quy đầu chủ yếu là Candida albicans (C. albicans). Mặc dù nấm C. albicans thường không gây hại, nhưng khi chúng phát triển quá mức. Những khu vực trên cơ thể như dương vật và âm đạo vốn ấm áp và ẩm ướt, là môi trường lý tưởng để nấm men phát triển.
Thông thường, nấm Candida có xu hướng phát triển mạnh mẽ và gây nguy cơ bệnh cao hơn ở nữ giới. Tuy nhiên, nam giới cũng có khả năng mắc bệnh nếu “quan hệ tình dục” với bạn tình nhiễm nấm hoặc không vệ sinh “cậu nhỏ” sạch sẽ.
>> XEM THÊM: Mách bạn cách chữa bệnh viêm bao quy đầu tại nhà hiệu quả
1.3. Bao quy đầu bị nấm do vệ sinh cơ quan sinh dục kém
Vệ sinh cơ quan sinh dục kém là nguyên nhân chính gây ra nấm bao quy đầu. Bựa bẩn sinh dục luôn được tiết ra để duy trì ẩm cho môi trường dương vật. Việc tích tụ bựa bẩn sinh dục quá lâu sẽ tạo ra mùi hôi khó chịu do lúc này vùng bao quy đầu đã chứa quá nhiều vi khuẩn và nấm men.
Một số nam giới có thói quen mặc đồ lót quá bó hoặc đồ lót vẫn còn ẩm ướt tạo môi trường lý tưởng để nấm Candida phát triển nhanh chóng và gây ra tình trạng bao quy đầu bị nấm.
1.4. Bao quy đầu bị nấm do hẹp hoặc dài bao quy đầu
Bao quy đầu tuy mỏng nhưng lại có vai trò rất quan trọng trong việc bảo vệ “cậu nhỏ” khỏi các tác nhân gây hại. Nam giới nên cắt bao quy đầu nếu quy đầu quá hẹp hoặc quá dài để tránh gây ứ đọng nước tiểu, cặn bẩn và khó vệ sinh dương vật.
1.5. Nấm bao quy đầu do một số nguyên nhân khác
Ngoài những nguyên nhân nêu trên, nấm bao quy đầu còn do các nguyên nhân khác gây ra như không được cắt bao quy đầu, sử dụng các sản phẩm gây kích ứng da, sử dụng kháng sinh dài hạn, mắc các bệnh gây suy giảm miễn dịch, tiểu đường, béo phì…v.v.
2. Những dấu hiệu nấm bao quy đầu thường gặp ở nam giới
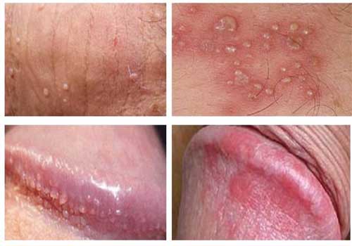
Khi bị nhiễm nấm bao quy đầu, nam giới thường thấy đầu dương vật xuất hiện lớp bựa trắng giống như bã đậu và có mùi hôi, kèm theo đó là mẩn ngứa và xuất hiện các chấm đỏ lo ti ở đầu dương vật. Trong những ngày đầu bị nấm bao quy đầu người bệnh có thể cảm thấy ngứa và nóng rát ở bao quy đầu.

Dấu hiệu bao quy đầu bị nấm ở nam giới
Dấu hiệu bao quy đầu bị nấm khá giống với những bệnh liên quan đến viêm nhiễm bộ phận sinh dục khác. Nam giới cần chú ý một số các triệu chứng dưới đây để nhận biết:
+ Phát hiện trên da quy đầu có những mảng trắng (gây kích ứng, ngứa ngáy), sần sùi thô ráp;
+ Bao quy đầu sưng tấy, mẩn đỏ(có thể kèm theo mủ);
+ Lỗ sáo có dấu hiệu bị lở loét;
+ Cảm giác nóng rát ở dọc niệu đạo;
+ Xuất hiện những vết sần đỏ như phát ban, tiểu rắt, tiểu buốt (nước tiểu có thể có lẫn mủ hoặc máu);
+ Đau rát, cảm giác khó chịu khi “làm chuyện ấy”;
+ Bao quy đầu có nhiều bựa bẩn và mùi khó chịu;
+ Gặp khó khăn khi kéo bao quy đầu xuống.
+ Cảm giác ngứa xung quanh và nóng rát vùng đầu dương vật.
+ Cảm giác đau rát khi tiểu tiện hoặc “quan hệ tình dục”.
Những dấu hiệu nấm bao quy đầu này có thể tương tự như các bệnh viêm nhiễm lây qua đường tình dục khác, điều này đôi khi có thể gây nhầm lẫn trong chẩn đoán.
Khi thấy có dấu hiệu bao quy đầu bị nhiễm nấm, nếu nam giới phớt lờ bỏ qua mà không chịu điều trị kịp thời, tình trạng nấm sẽ lan rộng và trở nên nghiêm trọng hơn. Gây ảnh hưởng tiêu cực tới sức khỏe sinh sản nam giới trong tương lai.
3. Mách bạn cách chữa bao quy đầu bị nấm tại nhà hiệu quả
Khi nghi ngờ bao quy đầu bị nhiễm nấm, bạn cần đến ngay cơ sở y tế uy tín để thăm khám và có phác đồ điều trị phù hợp. Nếu được phát hiện sớm và điều trị kịp thời, bệnh hoàn toàn có thể được giải quyết dứt điểm sau 1 đến 2 tuần. Đồng thời, nam giới cũng cần đưa “bạn tình” đi khám và điều trị nấm sinh dục nếu phát hiện mình đã mắc bệnh.
3.1. Điều trị bao quy đầu bị nấm bằng một số bài thuốc dân gian
Ngoài điều trị bằng thuốc kê đơn, người bệnh có thể áp dụng thêm một số cách hỗ trợ điều trị nấm bao quy đầu tại nhà để tăng cường hiệu quả điều trị, chẳng hạn như:
+ Lá bàng non
Chữa bao quy đầu bị nấm bằng lá bàng non có hiệu quả khá tốt vì trong lá bàng non có tính kháng khuẩn và kháng nấm. Cách thực hiện khá đơn giản, dùng lá bàng non tươi rửa sạch ráo nước, giã nhỏ, đắp lên vùng da quy đầu, để trong khoảng 20 phút sau đó rửa sạch lại bằng nước.

+ Chữa bao quy đầu bị nấm bằng nước cốt chanh
Nước cốt chanh chứa nhiều acid và có độ pH thấp. Việc ngâm vùng da quy đầu vào nước cốt chanh giúp điều chỉnh môi trường pH của da, từ đó hạn chế sự phát triển của nấm men. Để áp dụng, bạn có thể pha 2 thìa nước cốt chanh với 1 lít nước ấm để ngâm vùng da quy đầu bị nấm mỗi ngày 3 lần.
+ Sử dụng tinh dầu dừa
Tinh dầu dừa có chứa hợp chất acid lauric và acid caprylic có tác dụng kháng khuẩn, kháng nấm hiệu quả. Ngoài ra, bôi tinh dầu dừa trước khi “làm chuyện ấy” vừa giúp thăng hoa hơn, vừa giúp ngăn chặn lây truyền nấm Candida cho bạn tình.
+ Chữa nấm bao quy đầu bằng tỏi tươi
Bạn có thể sử dụng 2 – 3 tép tỏi tươi, bóc vỏ và thái mỏng, sau đó đắp lên vùng bị nhiễm nấm trong khoảng 15 – 20 phút rồi rửa lại bằng nước sạch. (Tuy nhiên, tỏi có tính nóng và vùng da quy đầu khá nhạy cảm, nên nếu thấy có kích ứng mạnh thì bạn nên ngừng ngay và không tiếp tục áp dụng).
Ngoài những phương pháp điều trị dân gian nêu trên, nam giới có thể điều trị nấm ngứa tại nhà bằng tinh dầu cam trà, giấm táo, lô hội,…v.v.
3.2. Điều trị nấm bao quy đầu theo phương pháp nội khoa
Hướng điều trị chung cho những bệnh nhân nhiễm nấm quy đầu chủ yếu là sử dụng thuốc bôi kết hợp với kháng sinh chống nấm. Thời gian điều trị thuốc và loại thuốc khác nhau phụ thuộc vào cơ địa người bệnh và mức độ nghiêm trọng của bệnh.
*Lưu ý: Nấm bao quy đầu nếu không điều trị dứt điểm, bệnh hoàn toàn có thể tái phát nhiều lần. Đồng thời, không tự ý mua thuốc và điều trị, để tránh nguy cơ kháng thuốc và khó cho việc điều trị về sau.
Bao quy đầu bị nấm tuy khó chữa nhưng chỉ cần người bệnh kiên trì và tuân thủ theo đúng phác đồ điều trị thì hoàn toàn có thể điều trị được. Liên hệ ngay đến hotline: 0937.990.417 hoặc inbox trực tiếp tới Fanpage phòng khám đa khoa Bách Lạc để được các bác sĩ chuyên khoa nam học tư vấn và đặt lịch khám!




Bài viết liên quan
Không có bài viết liên quan.